Ich in Springe und das Blut oder: Mögliche Folgen eines Putztraumas
von Veit Mathauer
.
Einer unserer frühen Kunden war ein Anbieter von Lasersystemen für Zahnärzte. Er stellt diese Maschinen nicht selber her, sondern bezog sie von einem Lieferanten in Slowenien oder in der Slowakei – weiß ich nicht mehr genau – klebte sein Firmenlogo drauf und verscherbelte sie an innovative Dentisten der Republik. Davon gab’s Mitte der Neunziger Jahre offenbar noch nicht so sehr viele. Ein Blech mit einem Laserstrahl zu durchtrennen war nichts Besonderes; ein Lippenbändchen hingegen schon.
Da kam er folgerichtig zu Sympra, die wir uns schon seinerzeit das Erklären erklärungsbedürftiger Themen und deren Promotion in den Medien auf die Fahnen geschrieben hatten. Sein konkretes Ansinnen war das Erstellenlassen eines Beitrags über einen seiner Kunden, einen Zahnarzt im niedersächsischen Springe, der frühzeitig die Segnungen des Er:YAG/Nd:YAG-Laser zu schätzen (und zu monetarisieren) wusste. Anwenderreportagen waren früher sehr begehrter Input, den Agenturen an Fachredaktion liefern durften; heute ist dieses Format bei Redakteuren und Lesern nicht mehr ganz so beliebt.
Ich durfte mich dieses Kunden annehmen, wobei ich vorausschicken muss, dass mir medizinische Themen eher weniger liegen. Blut, subkutane Injektionen, Liveberichte aus dem OP sind nicht so meines und können tatsächlich schlimmstenfalls zu kurzen Unterbrechungen meiner Präsenz führen. Im Falle der Laserreportage sollte es ja aber um Technik gehen, um Physik, Mechanik und so – genau mein Thema!
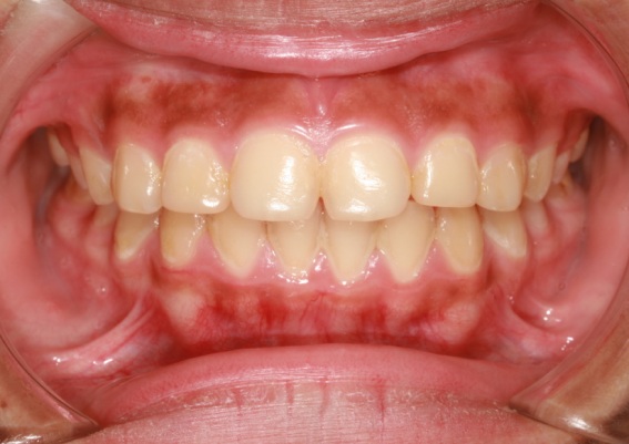
Ich fahre also nach Hannover, von dort ins benachbarte Springe. In Marktplatznähe finde ich die Zahnarztpraxis, wo ich schon erwartet werde. Es ist Mittag und der sehr nette Dentist lädt mich gleich zum Mittagessen ein. Es gibt Grünkohl mit Pinkel. Gut genährt starten wir mit dem Briefing – und zwar in der Praxis: 20 Minuten erläutert mir der Herr Dr., warum er in die Lasertechnologie investiert hat, wie er damit bestehende und neue Patienten behandelt und sein Leistungsspektrum erweitert hat. Dann geht es ans Eingemachte: Er erklärt mir die Einsatzszenarien des Laserstrahls anhand von rund 200 Dias, die er von seinen Patienten während der Behandlung geschossen hat. Detailaufnahmen von entzündetem Weichgewebe (Gingiva). Detintubuli, die durch Schmelzabtrag aufgrund einen Putztraumas freigelegt wurden (jemand hatte sich täglich mehr als zehn Mal die Zähne geputzt und sich die Zahnoberfläche regelrecht weggebürstet.). Eitergefüllte Aphthen im hinteren Mundbereich, die in kleinen Stücken weggelasert wurden. Und Schlimmeres.
Ich schaue mir die Dias an der Wand an, aber eigentlich eher daran vorbei. Schreibe nur noch stichwortartig mit. Es nimmt kein Ende. Ich spüre Grünkohl und Pinkel. Denke an die fünf Stunden Rückreise. Schwöre mir, in meinem Leben mich nie mehr auf einen Zahnarztstuhl zu setzen. Versuche, die Diaschau zu verkürzen, indem ich anmerke, ich hätte das Thema soweit durchdrungen. Der Termin scheint kein Ende zu nehmen …
Wochen später erscheint mein umfangreicher Fachartikel im „Dental Magazin“, wunderbar bebildert mit klinischen Fotos aus Springe. Kunde ist glücklich, der Laser-Zahnarzt ebenso. Und ich habe erstaunliches Wissen angeeignet, mit dem ich bei meiner Zahnärztin auftrumpfen konnte. Zudem dürfte ich bei Sympra der Einzige sein, der spontan weiß, wie man das Wort „Aphthe“ richtig schreibt.
Nachklapp: Es sollte mein einziger Beitrag bleiben, bei dem es um blutige Themen geht. Mit dem Wachstum von Sympra fanden sich in den Jahren danach immer wieder Kollegen, die sich gerne mit solchen und anderen Themen beschäftigen. Ich war und bin ihnen dankbar.
Bild: watanyou intachai / iStockphoto



Kommentare
Einen Kommentar schreiben